Koostöös GEBDI Dental GmBH-ga kutsume osalema 9-13.09 2024, Saksamaale Engenis asuvasse koolituskeskusesse.

Maailmakuulsa DT Brian Carsoni praktilisele koolitusele, milles Brian näitab ja õpetab kõiki oma seni praktiseeritud oskusi totaalproteeside valmistamisel.

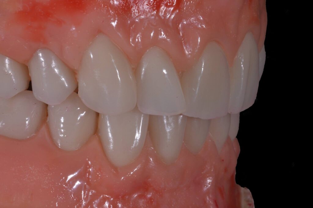
Pilt: MDT Jan Schünemann

Brian on TRIBOS 501 akrüülhammaste arvamusliider ning kasutab USA-s, Põhja Carolinas just neid hambaid oma laboris igapäevaselt, totaalproteeside valmistamiseks, samuti peab Brian oluliseks patsientide puhul jälgida ka seda, et “roosa – valge” esteetika oleks tagatud.

Igemeosa karakteriseerimine ja õige modelleerimine tagab nii funktsionaalsuse kui ka proteeside püsimise suus, mitte ainult naeratamise ajal vaid ka kogu funktsiooni ulatuses: naeratamine, söömine, rääkimine

Loe ka Brian’i artiklit NFP-süsteemi loomisest ja sellega töötamisesest : siin

Sügisel Saksamaale KOOLITUSELE!
Pilt: MDT Jan Schünemann

TRIBOS 501 akrüülhambad on valmistud kõrgsurvemeetodil ning nende kestvus on keskmiselt 3- 5 aastat. 3-kihilised kvaliteethambad on saadaval 31 erineva esihammaste kuju ja suurusega ning kõigis VITA 16-s värvis.

Kõikidele ülemistele esihammastele on valikus kuni 3-e erinveva laiuse ja suurusega alumisi esihambaid ning 3-e erineva morfoloogiaga tagahambaid ( primaarne, sekundaarne ning sekundaarne abrasiivne )

TRIBOS 501 hammaste konseptsiooni loojaks on legendaarne MDT Dieter Schultz, samuti on hambaid kujundanud MDT Jan Schünemann, tema uuendus hammastele oli pikema ning loomulikele hammastele omasema kaelaosa kujundamine, mis võimaldab vältida nn. ” mustasid kolmnurkasid ” hammaste vahel.

Kirjuta meile kui soovid täpsemat infot koolituse kohta või teiste GEBDI Dental toodete kohta!

Lisa kommentaar

Sinu e-postiaadressi ei avaldata. Nõutavad väljad on tähistatud *-ga